Реальные данные и неофициальные сообщения намекали на то, что такие препараты, как Оземпик, могут помочь
» data-medium-file=»https://www.sciencenews.org/wp-content/uploads/sites/2/2025/12/120525_MR_Alzheimers_feat.jpg?w=680″ data-large-file=»https://www.sciencenews.org/wp-content/uploads/sites/2/2025/12/120525_MR_Alzheimers_feat.jpg?w=800″ />
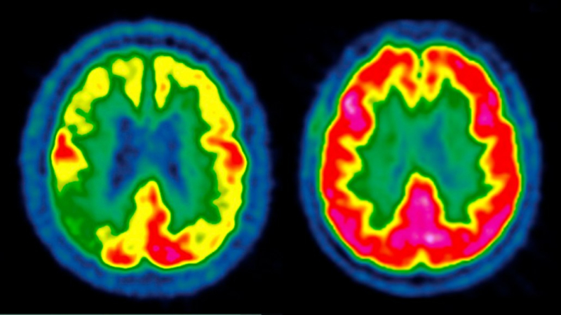
Ранее ученые показали, что активность мозга человека с болезнью Альцгеймера (слева) может быть снижена от низкой (синий) до высокой (красный) по сравнению со здоровым человеком (справа). В ходе двух новых клинических испытаний ученые надеялись замедлить прогрессирование заболевания, назначая пациентам препарат GLP-1, но лечение оказалось безуспешным.
Два крупнейших клинических испытания такого рода развеяли надежды на то, что “чудо-лекарство” от диабета и снижения веса может также оказать магическое воздействие на болезнь Альцгеймера.
Ежедневная доза семаглутида для приема внутрь не замедлила прогрессирование нейродегенеративного заболевания, сообщили авторы исследования 3 декабря на конференции «Клинические испытания болезни Альцгеймера» в Сан-Диего.
Результаты “очень разочаровывают”, — говорит Дэниел Друкер, эндокринолог из Университета Торонто, который не принимал участия в испытаниях. Его исследования заложили основу для разработки семаглутида и других препаратов, содержащих GLP-1, которые продаются под торговыми марками Ozempic, Rybelsus, Mounjaro и другими. По словам Друкера, такие лекарства рекламировались как средство, которое “помогает от всего”. Специалисты в этой области задаются вопросом, есть ли что-то, чего не могут сделать препараты GLP-1. “Ответ, — говорит он, — положительный”.
Новые результаты представляют собой “неоспоримую неудачу”, — говорит Пол Эдисон, нейробиолог из Имперского колледжа Лондона, который не принимал участия в этой работе. И они следуют недавним результатам клинических испытаний GLP-1 и болезни Паркинсона, которые также показали, что медикаментозное лечение, по-видимому, не помогает.
Ученые не отказались от лекарств от этих состояний, но им нужно будет изменить свое мнение, сосредоточившись на новых вопросах исследования GLP-1, вызванных результатами испытаний. Это может включать в себя определение наилучшей дозы, сроков и контингента пациентов для лечения и даже разработку новых идей, например, как разработать новые лекарства, которые легче проникают в мозг.
Чтобы найти ответы на эти вопросы, потребуется время и гораздо больше исследований, говорит Друкер. До тех пор ученым придется считаться с новой реальностью, с которой сталкиваются препараты GLP-1 в качестве кандидатов на лечение нейродегенеративных заболеваний. “Я не думаю, что развитие отрасли остановилось на достигнутом”, — говорит он. Но “нам нужно переосмыслить нашу стратегию и сделать шаг назад”.
Рано надеяться
В течение многих лет препараты GLP-1 считались чудодейственными средствами, и не секрет, почему. Помимо того, что они помогают людям контролировать уровень сахара в крови и иногда способствуют значительному снижению веса, они также могут бороться со всевозможными другими недугами.
Ученые, изучающие эти препараты, сообщили об улучшении состояния при сердечно-сосудистых заболеваниях, заболеваниях печени, мигренях, апноэ во сне и многом другом. Эти препараты также могут снизить риск возникновения расстройств, связанных с употреблением наркотиков и алкоголя. Препараты GLP-1, которые имитируют один или несколько гормонов кишечника, воздействуют на организм как известными, так и еще не обнаруженными способами. Они могут подавлять аппетит, замедлять пищеварение, а также, по-видимому, уменьшать воспаление. И некоторые данные свидетельствуют о том, что эти препараты также могут защищать мозг.
По словам Дэвида Стандарта, невролога из Университета Алабамы в Бирмингеме, есть основания для энтузиазма по поводу GLP-1, когда речь заходит о лечении неврологических заболеваний. По его словам, избыток сахара, или глюкозы, в крови является фактором риска развития болезней Паркинсона и Альцгеймера, поэтому “контроль уровня глюкозы, по-видимому, был бы полезен”.
Исследования на животных, неподтвержденные данные и реальные данные указывают на то, что препараты могут принести пользу людям с когнитивными расстройствами. А небольшое клиническое исследование на людях с болезнью Альцгеймера выявило признаки замедления когнитивных нарушений у тех, кто получал препарат первого поколения GLP-1 лираглутид, сообщает команда Эдисона 1 декабря в журнале Nature Medicine.
Опыт пациентов, принимающих лекарства, подтверждает эту идею. “Люди говорят, что я чувствую себя лучше. Мой мозг работает лучше. У меня меньше мозгового тумана, вызванного COVID”, — говорит Друкер. Но эти разрозненные сообщения “не заменяют собой полноценное рандомизированное двойное слепое плацебо-контролируемое исследование”, — отмечает он. Это золотой стандарт для определения того, дает ли конкретное лечение пациентам какие-либо преимущества по сравнению с плацебо.
Как показывают новые результаты исследования болезни Альцгеймера, между результатами подобных крупных исследований и другими доказательствами, указывающими на потенциальную пользу, существует несоответствие. Различия в деталях исследования, включая типы изучаемых лекарств, продолжительность и способ их приема, могут омрачить и без того нечеткую картину. Например, препарат GLP-1 ликсисенатид, по-видимому, обеспечивает некоторую защиту от ухудшения симптомов болезни Паркинсона, сообщили исследователи в 2024 году в журнале New England Journal of Medicine. Но почти два года еженедельных инъекций препарата GLP-1 эксенатида не привели к уменьшению симптомов заболевания, сообщили исследователи в журнале the Lancet в феврале.
“Эти испытания были в некотором роде неудачными”, — говорит Стандерт. Им еще предстоит по-настоящему продемонстрировать, что препараты GLP-1 могут изменить течение неврологических заболеваний.
Неутешительные результаты
Болезнью Альцгеймера страдают более 7 миллионов американцев, и ученые прогнозируют, что к 2050 году это число может почти удвоиться. Несмотря на интенсивные исследования, проводившиеся на протяжении десятилетий, лекарства от болезни Альцгеймера не существует, а новейшие доступные методы лечения замедляют прогрессирование заболевания лишь примерно на 30 процентов. “Мы определенно хотим еще больше замедлить снижение заболеваемости”, — говорит Рейза Сперлинг, невролог женской больницы Бригама в Бостоне.
В двух новых исследованиях GLP-1, названных evoke и evoke+, приняли участие около 4000 человек с ранней стадией болезни Альцгеймера. Средний возраст участников составлял 70 лет, и они ежедневно принимали семаглутид или плацебо в течение примерно двух лет. Исследователи проследили, как прогрессировало заболевание у каждого человека. У группы пациентов они наблюдали небольшое снижение уровня некоторых биомаркеров болезни Альцгеймера — белков, которые могут указывать на наличие заболевания. Они также наблюдали снижение уровня ключевого биомаркера воспаления.
Но это не привело к клиническим результатам, сказал на встрече Джеффри Каммингс, руководитель исследований и невролог из Университета Невады в Лас-Вегасе. “Мы не получили соответствующего эффекта для когнитивных функций, на который надеялись”, — сказал он. В ходе теста, который измерял изменения в клинической деменции до и после лечения, не было выявлено различий между препаратом и плацебо.
Наблюдение за фактическими данными, появляющимися на экране во время совещания, было немного удручающим, говорит Сперлинг. “Вы могли ясно видеть, что [пациенты] не получили никакой клинической пользы”. Иногда, когда клинические испытания дают разочаровывающие результаты, говорит она, люди задаются вопросом, были ли проблемы с дизайном исследования. “В данном случае это было не так”, — говорит она. “Это был очень хорошо проведенный комплекс исследований, который дал нам четкий ответ”. На этой ранней стадии заболевания семаглутида было недостаточно, чтобы замедлить прогрессирование болезни Альцгеймера, — говорит она.
По словам Каммингса, исследовательская группа, которая получила результаты всего около двух недель назад, планирует более глубоко изучить полученные данные и представить дополнительные результаты на конференциях по болезням Альцгеймера и Паркинсона в следующем году.
По словам Друкера, существует длинный список разумных объяснений того, почему семаглутид мог оказаться неэффективным. Когда речь заходит о нейродегенеративных заболеваниях, препараты GLP-1 могут быть более эффективными в профилактическом, а не в терапевтическом отношении. Также возможно, что заболевание участников зашло слишком далеко, чтобы препарат мог улучшить состояние мозга. Или, возможно, семаглутид мог бы послужить терапевтическим средством, но в мозг пациентов попало недостаточно препарата, чтобы что—то изменить. “На все эти вопросы у нас нет ответа”, — говорит он.
Исследования подчеркивают фундаментальные проблемы в разработке методов лечения заболеваний головного мозга, — говорит Стандерт. Одна из трудностей заключается в том, что и болезнь Альцгеймера, и болезнь Паркинсона развиваются относительно медленно. Это означает, что ученым нужны большие группы людей и длительные периоды времени, чтобы наблюдать за потенциальными эффектами лечения.
Другая проблема заключается в том, что ученые до сих пор не знают всех способов воздействия препаратов GLP-1 на организм и мозг. Это замечательные лекарства, для которых ученые уже нашли множество полезных применений, говорит Стандерт, “но это не значит, что они излечивают все”. В этот момент он говорит: “Я думаю, нам нужно немного отступить и спросить себя: ”Как же все-таки работают эти GLP-1?» — повторяет мысль Сперлинга. Она хотела бы лучше понять, обладают ли эти препараты явной биологической активностью против болезни Альцгеймера.
Друкер говорит, что важно осознавать, когда GLP-1 не проходит клинических испытаний. Это поможет ученым составить более реалистичную картину сильных и слабых сторон лекарств для лечения различных заболеваний. Он и другие специалисты в этой области надеялись, что действие лекарств принесет пользу людям с неврологическими заболеваниями. Но, по его словам, “в области GLP-1 мы должны быть достаточно честными, чтобы признать свои неудачи. И при болезни Паркинсона, и при болезни Альцгеймера у нас были неудачи”.

